بیماری سارکوم یوئینگ و عوامل خطر آن؛ آیا قابل پیشگیری است؟
سارکوم یوئینگ یکی از سرطانهای نادر و جدی استخوان است که بیشتر در سنین کودکی و نوجوانی بروز پیدا میکند. این بیماری به دلیل رشد سریع و توانایی گسترش به اندامهای دیگر، اهمیت زیادی در تشخیص به موقع دارد. علائم اولیه آن معمولاً با مشکلات سادهای مثل درد یا التهاب استخوان اشتباه گرفته میشود و همین موضوع روند درمان را به تأخیر میاندازد. به همین دلیل مراجعه به مراکز تخصصی مانند کلینیک تخصصی لگن برای ارزیابی دقیق و تشخیص زودهنگام این بیماری اهمیت ویژهای دارد.
در این مقاله به بررسی جامع جنبههای مختلف سارکوم یوئینگ از جمله علائم، علل بروز، عوارض، روشهای تشخیص، طول عمر بیماران و شیوههای درمانی آن میپردازیم. همراه ما باشید.

بیماری سارکوم یوئینگ چیست؟
سارکوم یوئینگ یکی از انواع نادر سرطان استخوان و بافت نرم است که بیشتر در کودکان، نوجوانان و جوانان زیر ۲۰ سال دیده میشود. این بیماری از سلولهای نابالغ استخوانی یا سلولهای موجود در بافتهای نرم اطراف استخوان مانند عضلات، غضروف و اعصاب آغاز میشود. شایعترین محل درگیری استخوانهای لگن، ران، دندهها و بازو است. این سرطان به دلیل رشد سریع و ماهیت تهاجمی خود، معمولاً در مدت کوتاهی گسترش مییابد و در صورت عدم درمان احتمال متاستاز به ریهها، مغز استخوان و سایر بخشهای بدن وجود دارد.
علت دقیق بروز سارکوم یوئینگ هنوز به طور کامل مشخص نیست، اما اغلب بیماران دارای جابهجایی کروموزومی t(11;22)(q24;q12) هستند که باعث تشکیل ژن فیوژن EWS-FLI1 میشود. این تغییر ژنتیکی نقش کلیدی در شروع و پیشرفت بیماری دارد
همچنین این نوع سرطان در مقایسه با دیگر تومورهای استخوانی مانند استئوسارکوم شیوع کمتری دارد، با این حال به دلیل رشد سریع و ماهیت تهاجمی، تشخیص زودهنگام آن از اهمیت بالایی برخوردار است.
علائم سارکوم یوئینگ
علائم سارکوم یوئینگ در ابتدا بسیار مبهم هستند و گاهی با بیماریهای سادهتری مانند آسیب ورزشی یا عفونت استخوان اشتباه گرفته میشوند. یکی از بارزترین علائم، درد مداوم در ناحیه درگیر است که حتی در حالت استراحت نیز ادامه دارد و به مرور شدت پیدا میکند. در کنار درد، تورم یا وجود توده قابل لمس در محل تومور نیز مشاهده میشود. گاهی اوقات نیز پوست روی ناحیه متورم، قرمز یا گرم به نظر میرسد. در برخی بیماران مبتلا به سارکوم یوئینگ، شکستگیهای غیرمنتظره و بدون ضربه شدید رخ میدهد که ناشی از ضعف استخوان در اثر تخریب سرطانی است.
علاوه بر علائم موضعی، نشانههای عمومی مانند تب خفیف، خستگی شدید، کاهش وزن بدون دلیل مشخص و بیاشتهایی نیز بروز میکند. در مواردی که تومور به ریهها گسترش یافته باشد، مشکلات تنفسی یا سرفههای مداوم هم ظاهر میشود.
علت ابتلا به بیماری سارکوم یوئینگ
علت بیماری سارکوم یوئینگ هنوز به طور کامل مشخص نشده است، اما پژوهشها نشان دادهاند که تغییرات ژنتیکی نقش اساسی در ایجاد این بیماری دارند. در بسیاری از بیماران، نوعی جابهجایی کروموزومی میان کروموزوم ۱۱ و ۲۲ دیده میشود که باعث ایجاد ژن غیرطبیعی و تحریک رشد غیرقابل کنترل سلولهای سرطانی میشود. این تغییر ژنتیکی معمولاً ارثی نیست و به صورت تصادفی در طول زندگی فرد رخ میدهد.
سن نیز در بروز سارکوم یوئینگ اهمیت دارد، زیرا بیشتر در دوران کودکی و نوجوانی بروز میکند و در بزرگسالان بسیار نادر است. همچنین مطالعات نشان دادهاند که این نوع سرطان در پسران نسبت به دختران کمی شایعتر است و در میان افراد سفیدپوست نسبت به سایر نژادها بیشتر دیده میشود.
جالب است بدانید که بر خلاف دیگر سرطانها، سابقه خانوادگی یا وراثت مستقیم نقش پررنگی در این بیماری ندارد، بنابراین این بیماری بیشتر نتیجه یک تغییر ژنتیکی اکتسابی در سلولهاست که مسیر طبیعی تقسیم و رشد سلولی را مختل میکند و منجر به ایجاد تومور میشود.

عوارض سارکوم یوئینگ
سارکوم یوئینگ علاوه بر تخریب بافت استخوانی یا بافت نرم درگیر، عوارض گستردهای برای بیمار به همراه دارد. یکی از مهمترین عوارض آن گسترش سرطان به بخشهای دیگر بدن یا همان متاستاز است که معمولاً به ریهها، مغز استخوان و سایر استخوانها رخ میدهد. این وضعیت درمان را دشوارتر کرده و شانس بهبودی را کاهش میدهد. شکستگیهای پاتولوژیک از دیگر پیامدهای جدی این بیماری هستند؛ یعنی استخوان ضعیفشده به دلیل تومور، حتی با ضربههای بسیار خفیف دچار شکستگی میشود.
عوارض عمومی مانند کاهش وزن، ضعف سیستم ایمنی، کمخونی و خستگی شدید نیز به دلیل گسترش بیماری یا اثرات درمانهای شیمیدرمانی و پرتودرمانی رخ میدهند. تأخیر در درمان، شانس بروز این عوارض را افزایش میدهد و روند بهبودی را دشوارتر میسازد.
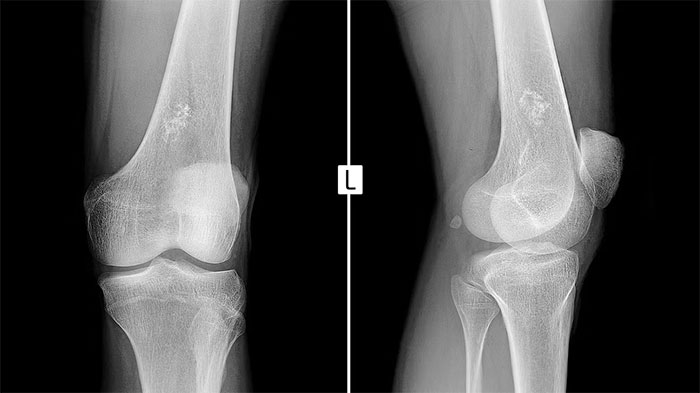
روش های تشخیص سارکوم یوئینگ
تشخیص سارکوم یوئینگ فرایندی چندمرحلهای است که نیاز به بررسی دقیق توسط تیم پزشکی متخصص دارد. نخستین گام معمولاً تصویربرداری با استفاده از اشعه ایکس است که نشاندهنده ضایعات غیرطبیعی در استخوان خواهد بود. پس از آن، روشهای دقیقتر مانند امآرآی (MRI) و سیتی اسکن برای تعیین اندازه، محل و میزان درگیری بافتهای اطراف به کار میروند. اسکن استخوان با رادیونوکلئید نیز برای بررسی گسترش احتمالی سرطان در سایر نقاط استخوانی انجام میشود.
یکی از مهمترین مراحل تشخیص، نمونهبرداری یا بیوپسی است که در آن بخشی از بافت تومور خارج شده و زیر میکروسکوپ بررسی میشود تا نوع دقیق سرطان مشخص شود. علاوه بر این، آزمایشهای ژنتیکی برای شناسایی تغییرات کروموزومی خاص مانند جابهجایی کروموزومهای ۱۱ و ۲۲ انجام میگیرد. آزمایش خون نیز برای بررسی سلامت عمومی بیمار و ارزیابی عملکرد اندامهای مختلف ضروری است. تشخیص به موقع با استفاده از این روشها اهمیت بالایی دارد، زیرا در مراحل اولیه امکان درمان مؤثرتر و جلوگیری از گسترش بیماری بیشتر وجود دارد. بنابراین هر فردی با علائم مشکوک باید سریعاً تحت بررسیهای تخصصی قرار گیرد.
ایا سارکوم یوئینگ کشنده است؟
سارکوم یوئینگ یکی از سرطانهای تهاجمی به شمار میرود و در صورت عدم تشخیص به موقع و درمان مناسب تهدیدکننده حیات بیمار خواهد بود. این بیماری به دلیل رشد سریع سلولهای سرطانی و احتمال بالای متاستاز، در دسته سرطانهای جدی قرار میگیرد. با این حال، کشنده بودن آن به عوامل متعددی از جمله سن بیمار، محل تومور، اندازه آن، میزان گسترش به سایر اندامها و پاسخ به درمان وابسته است.
در حال حاضر درمان قطعی سارکوم یوئینگ وجود ندارد، اما ترکیب شیمیدرمانی سیستمیک، جراحی موضعی و در برخی موارد پرتودرمانی میتواند بیماری را کنترل کرده و شانس بهبودی و بقای بیمار را بهبود بخشد.اگر این بیماری در مراحل اولیه و پیش از گسترش به سایر اندامها شناسایی شود، احتمال بهبودی و ادامه زندگی بیمار به میزان چشمگیری افزایش مییابد.

طول عمر بیماران سرطان سارکوم چقدر است؟
طول عمر بیماران مبتلا به سارکوم یوئینگ به شدت تحت تأثیر مرحله بیماری در زمان تشخیص قرار دارد. در بیمارانی که تومور محدود به محل اولیه باشد و هنوز متاستاز رخ نداده باشد، نرخ بقای پنجساله تقریباً ۷۰ تا ۸۰ درصد است. در صورت متاستاز، نرخ بقای پنجساله به ۲۰ تا ۳۰ درصد کاهش مییابد. اما در شرایطی که سرطان به سایر اندامها، بهویژه ریهها یا مغز استخوان گسترش یافته باشد، این میزان به حدود ۲۰ تا ۳۰ درصد کاهش پیدا میکند. پاسخ بدن به درمان نیز عامل تعیینکنندهای است؛ برخی بیماران به شیمیدرمانی و پرتودرمانی واکنش مثبت نشان میدهند و کنترل طولانیمدت بیماری امکانپذیر میشود. سن بیمار نیز در این بیماری اهمیت دارد؛ کودکان و نوجوانان معمولاً شانس بیشتری برای بهبودی دارند، در حالی که در بزرگسالان این میزان کمتر است.
عوامل دیگری مانند محل تومور و امکان جراحی کامل نیز بر پیشآگهی مؤثرند. اگرچه این عارضه، بیماری جدی و تهدیدکننده زندگی است، اما با پیشرفت علم پزشکی و روشهای درمانی، بسیاری از بیماران سالها پس از تشخیص به زندگی ادامه میدهند.
روش های درمان بیماری سارکوم یوئینگ
درمان سارکوم یوئینگ معمولاً ترکیبی از چند روش درمانی است تا بیشترین تأثیر را در کنترل سرطان داشته باشد. شیمیدرمانی نخستین گام در بیشتر بیماران است که با استفاده از داروهای ضدسرطان رشد سلولهای سرطانی را متوقف میکند و اندازه تومور را کاهش میدهد. پس از آن، جراحی برای برداشتن کامل تومور انجام میشود، البته در صورتی که امکانپذیر باشد.
در این میان، پرسش مهم بسیاری از بیماران و خانوادهها این است که آیا سارکوم یوئینگ درمان قطعی دارد؟ پاسخ به این سؤال به مرحله بیماری، میزان گسترش و واکنش فرد به درمان بستگی دارد. در مواردی که تومور محدود به استخوان باشد و زود تشخیص داده شود، درمانها بسیار موفقیتآمیز خواهند بود، اما در مراحل پیشرفته یا در صورت متاستاز، کنترل بیماری دشوارتر میشود.
در مواردی که جراحی به تنهایی کافی نباشد یا محل تومور دسترسی سختی داشته باشد، پرتودرمانی برای از بین بردن سلولهای باقیمانده به کار میرود. در برخی موارد پیشرفته یا متاستاتیک، درمانهای اضافی مانند پیوند سلولهای بنیادی نیز استفاده میشود.
در واقع ترکیب این روشها بسته به شرایط بیمار توسط تیم تخصصی انکولوژی، جراح ارتوپدی و رادیوتراپیست تعیین میشود. درمان معمولاً طولانی و چندمرحلهای است و ممکن است ماهها تا سالها ادامه داشته باشد.
تغذیه مناسب برای مبتلایان به سارکوم یوئینگ
تغذیه صحیح نقش مهمی در حمایت از روند درمان بیماران مبتلا به سارکوم یوئینگ دارد. مصرف مواد غذایی سرشار از پروتئین مانند گوشت بدون چربی، ماهی، مرغ، تخممرغ و حبوبات به بازسازی بافتها و تقویت سیستم ایمنی کمک میکند. همچنین، میوهها و سبزیجات تازه به دلیل داشتن ویتامینها، مواد معدنی و آنتیاکسیدانها در کاهش التهاب و مقابله با عوارض درمان نقش مؤثری دارند. غلات کامل مانند برنج قهوهای، نان سبوسدار و جو دوسر نیز انرژی لازم برای بدن را فراهم میسازند.
علاوه بر این، لبنیات کمچرب نیز باعث تأمین کلسیم و ویتامین D برای تقویت استخوانها میشود. توجه داشته باشید که بیمار باید از مصرف غذاهای فرآوریشده، پرچرب و قندهای ساده پرهیز کند؛ چرا که باعث ضعف سیستم ایمنی و افزایش التهاب میشوند.
از سوی دیگر، نوشیدن آب کافی برای جلوگیری از کمآبی بدن و دفع مواد زائد ناشی از شیمیدرمانی بسیار ضروری است. مشورت با متخصص تغذیه برای تنظیم برنامه غذایی متناسب با شرایط فردی، عوارض درمان و نیازهای بدن اهمیت بالایی دارد.

درمانهای مکمل برای سارکوم یوئینگ
در کنار درمانهای اصلی مانند شیمیدرمانی، جراحی و پرتودرمانی، برخی روشهای مکمل به بهبود کیفیت زندگی بیماران مبتلا به سارکوم یوئینگ کمک خواهد کرد. این درمانها جایگزین درمان پزشکی استاندارد نیستند، بلکه به عنوان پشتیبان برای کاهش عوارض و افزایش توان جسمی و روحی به کار میروند. یکی از درمانها، فیزیوتراپی است که با تقویت عضلات و افزایش انعطافپذیری در بهبود حرکت و کاهش درد بیمار موقر است. همچنین تکنیکهای آرامسازی مانند مدیتیشن، یوگا و تمرینات تنفسی نیز باعث کاهش اضطراب و استرس ناشی از روند درمان مؤثر میشود.
علاوه بر این، استفاده از ماساژ درمانی در برخی بیماران مبتلا به این بیماری، باعث تسکین درد و افزایش آرامش میشود. طب سوزنی نیز گاهی برای کاهش تهوع ناشی از شیمیدرمانی مورد استفاده قرار میگیرد. تغذیه مکمل با ویتامینها و مواد معدنی تحت نظر پزشک نیز در بهبود وضعیت عمومی بدن بیمار تاثیر بسزایی دارد.
این روشهای مکمل در کنار درمانهای اصلی به بیماران کمک میکنند تا روند درمانی را بهتر تحمل کنند و کیفیت زندگی بهتری داشته باشند.
جمعبندی
در این مقاله توضیح دادیم که سارکوم یوئینگ از جمله سرطانهای نادر و تهاجمی استخوان و بافت نرم است که بیشتر در سنین کودکی و نوجوانی بروز میکند. این بیماری به دلیل رشد سریع و احتمال بالای متاستاز به اندامهایی مانند ریهها و مغز استخوان، تهدیدی جدی برای سلامتی به شمار میرود. علت دقیق آن هنوز مشخص نشده اما نقش تغییرات ژنتیکی بهویژه جابهجایی کروموزومی در ایجاد آن ثابت شده است.
علائم اولیه این بیماری اغلب مبهماند و همین مسئله تشخیص را به تأخیر میاندازد. با این حال، پیشرفت در روشهای تصویربرداری، بیوپسی و آزمایشهای ژنتیکی امکان تشخیص دقیقتر را فراهم کرده است. درمان معمولاً ترکیبی از شیمیدرمانی، جراحی و پرتودرمانی است و در برخی بیماران از پیوند مغز استخوان یا روشهای هدفمند نیز استفاده میشود. تغذیه مناسب و درمانهای مکمل مانند فیزیوتراپی و مدیتیشن نیز نقش مهمی در بهبود کیفیت زندگی بیماران دارند.
پست قبلی
پست بعدی
دیدگاه خود را با ما در میان بگذارید